Thêm 1 bệnh viện đạt chứng nhận quốc tế trong hỗ trợ sinh sản
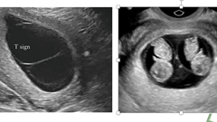
VHO- Miền Bắc có bệnh viện thứ 3 đạt Chứng nhận RTAC – Chứng nhận chất lượng quốc tế trong chuyên ngành Hỗ trợ sinh sản hướng tới mục tiêu xây dựng bệnh viện hàng đầu trong lĩnh vực nam học, y học giới tính và hỗ trợ sinh sản tại Việt Nam.

RSS